close

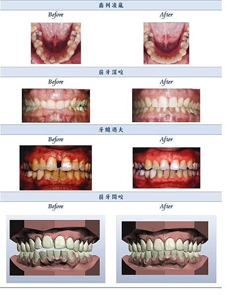
新的一年,跟大家分享一下隱形矯正的成果,

下面是一些用隱形矯正的case

有些不願意出示照片的,

我們以3D圖檔示意,請大家見諒。

 

 

  隱形矯正結果  

上述這些圖片給各位想變漂亮的小天鵝們做參考,

希望新的一年,大家可以更漂亮,更自信!!!

文章標籤
隱形矯正 SOV 牙齒矯正器
全站熱搜
創作者介紹
創作者 orthosov 的頭像
orthosov

SOV數位隱形矯正

orthosov 發表在 痞客邦 留言(0) 人氣()